お知らせ / コラム
歯ぐきが下がってトラブル…④ 諦めがちな奥歯の歯肉退縮(症例)
「奥歯の歯ぐきは治らない」と言われて、諦めていませんか?
今回の症例は、他院で難しいと説明を受けたケースです。
奥歯の歯肉退縮が難しいとされる理由
- 視野が悪く処置が繊細になる
- 器具が届きにくく難易度が高い
- 組織の状態によって結果に差が出やすい
そのため、経過観察を提案されることも少なくありません。
改善が見込めるケースもあります
ただし、状態をしっかり見極めたうえで適した方法を選択することで、改善が見込めるケースもあります。今回のケースでも、歯ぐきや骨の状態、原因を丁寧に確認しながら治療方針を決定しています。
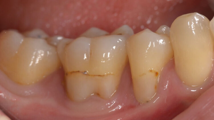
- 【術前】奥歯の歯肉退縮症例①
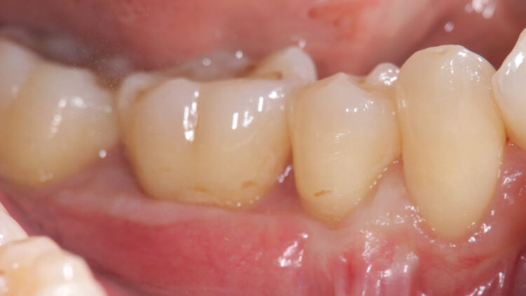
- 【術後】奥歯の歯肉退縮症例②
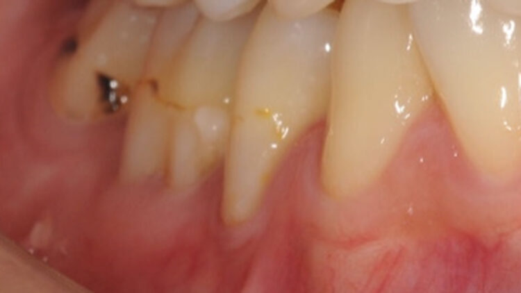
- 【術前】奥歯の歯肉退縮症例②
- 【術後】奥歯の歯肉退縮症例②
このようなお悩みはありませんか?
- 歯がしみる
- 見た目が気になる
- 他院で難しいと言われた
「できない」と決めてしまう前に一度ご相談いただくと新たな選択肢が見つかる可能性もあります。
僕たちは、
「できる可能性が1%でもあるなら追求する」
そういう治療をしています。
梅田で歯肉退縮にお悩みの方へ
カツベ歯科クリニックでは歯肉退縮のお悩みに対しても状態に応じた治療のご提案を行っています。
歯ぐきの下がりにお悩みの方もまずは現在の状態を知るところからでも大丈夫です。
お気軽にご相談ください。



