お知らせ / コラム
歯ぐきが下がってトラブル…③歯ぐきが下がったら「移植が絶対必要!」だと思ってませんか?
歯ぐきが下がったら「移植が絶対必要!」だと思ってませんか?
「最近、鏡を見るたびに歯が長くなった気がする…」
「冷たいものがしみるけれど、手術(移植)なんて怖くて無理!」
そんな不安を抱えて、歯科医院への足を止めてしまっていませんか?
実は、歯ぐきの退縮=すべて移植手術が必要、というわけではありません。
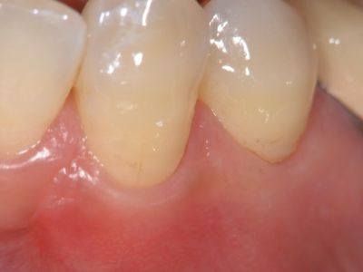
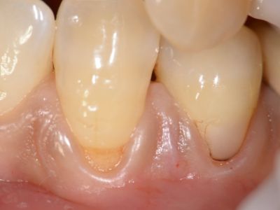
今回の症例(写真参照)をご覧ください。
実は移植を行わずにここまで改善しています。
- 術前正面観
- 術後正面観
- 術前側方面観
- 術後側方面観
✔ 歯肉移植なし
✔ 見た目改善
✔ しみる症状も軽減
後悔しないための「分かれ道」
歯ぐきの治療は、「早めの診断」で成否の9割が決まります。
大丈夫と放置してしまうと土台となる骨まで痩せてしまいいよいよ移植しか手がない…という状態になりかねません。
「もしかして自分も?」と少しでも違和感があるなら、手遅れになる前に一度チェックしてみませんか?
知らずに放置すると歯はどんどん弱くなります。
「これ自分も当てはまるかも」と思った方は、早めにご相談ください。
※治療には適応がありすべての症例で同様の結果を保証するものではありません。
※自由診療となります。


