お知らせ / コラム
歯ぐきが下がってトラブル…②被せ物の下で進む歯肉退縮|見た目も機能も整える根本治療とは
【被せ物の下で歯ぐきが下がる…実はよくあるトラブルです】
・ 差し歯の根元が黒く見える
・ 歯が長くなってきた
・ 冷たいものがしみる
・ 被せ物の境目が見える
このような状態は歯ぐきが下がっている可能性があります。
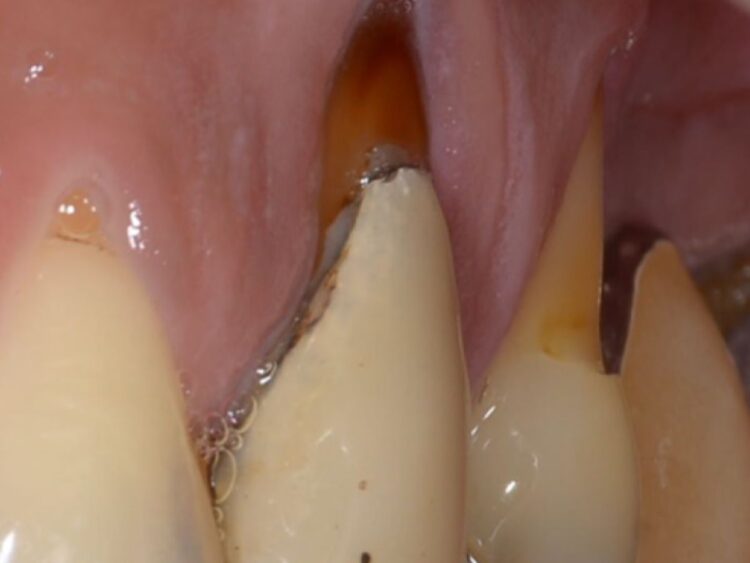
今回の症例は被せ物の下で歯肉退縮が起きたケースです。
まず歯根面被覆術(歯周形成外科)で下がってしまった歯ぐきを回復させ、その後保険の被せ物をセラミックスへやりかえました。
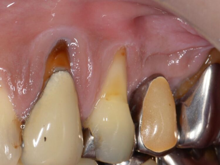
- 術前
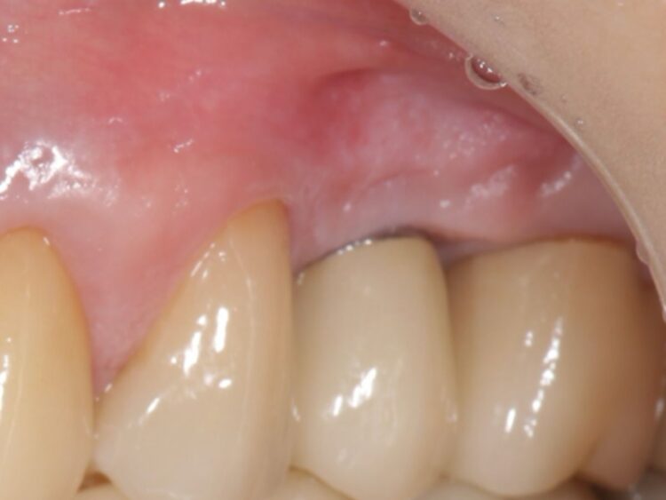
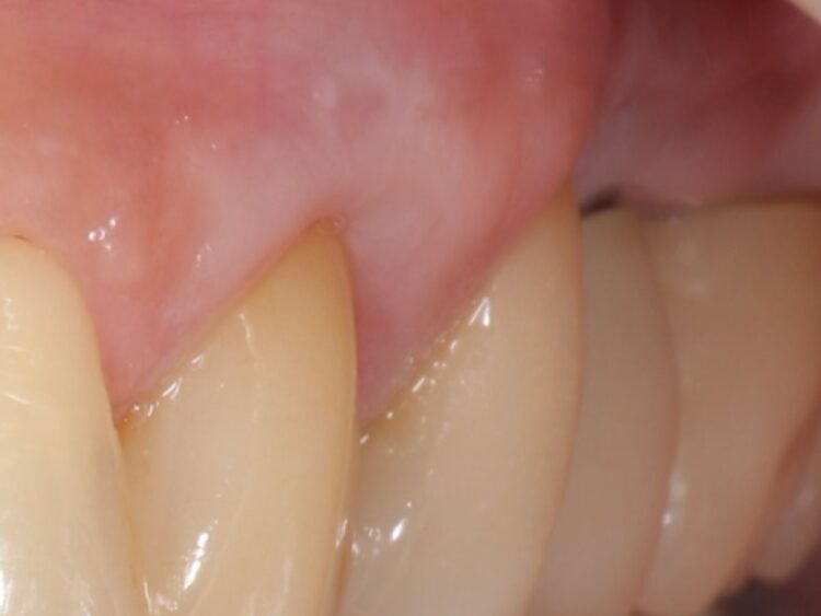
- 術後17年経過
- 術前の正面観
- 術後正面観17年経過
歯ぐきのラインが整うことで
・自然な見た目
・しみない
・長期安定
を実現しています。
実はこのようなケースは被せ物を作り直すだけでは綺麗に治らないことが多く、歯ぐきの治療が必要になる場合があります。
当院では歯周形成外科 × 審美修復を組み合わせて歯ぐきの位置まで整えた治療を行っています。
✔ 歯ぐきが下がってきた
✔ 昔入れた差し歯が気になる
✔ 根元が黒く見える
そんなお悩みは、歯ぐきの治療で改善できる可能性があります。
見た目だけでなく、長く快適に使える状態を目指した治療を大切にしています。
気になる方は、お気軽にご相談ください。
※治療には適応がありすべての症例で同様の結果を保証するものではありません。
※自由診療となります。



