お知らせ / コラム
歯ぐきが下がって虫歯に… 削って詰めるだけが治療ではありません
歯ぐきが下がって虫歯になってしまった…
歯ぐきが下がったことで虫歯になってしまった経験はありませんか。歯ぐきが下がる「歯肉退縮」は珍しいことではありませんがそのまま放置すると、歯の根元が露出し、知覚過敏や虫歯の原因になることがあります。そして実際に多くのケースでは、露出した根元にできた虫歯を削り、レジン(樹脂)で詰める治療が行われます。もちろんそれ自体は一般的な治療法ですが「歯ぐきが下がった原因」までは改善できないという問題があります。
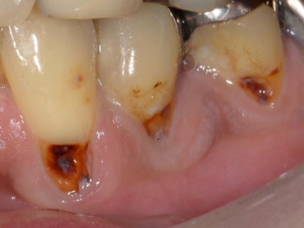
今回の症例は下顎犬歯〜小臼歯に生じた歯肉退縮部の根面う蝕でした。歯ぐきが下がったことで歯根が露出し、その部分に虫歯が発生してしまったケースです。そこで今回は単純に虫歯を詰める治療ではなく、歯周形成外科(歯肉移植術)を併用した治療を行いました。
歯周形成外科(歯肉移植術)を併用した治療の流れ
治療の流れは以下の通りです。
✔ 根面う蝕(虫歯)を丁寧に除去
✔ 露出している歯根を歯肉移植で被覆
✔ 強く安定した角化歯肉を再建
- 術前側方面観
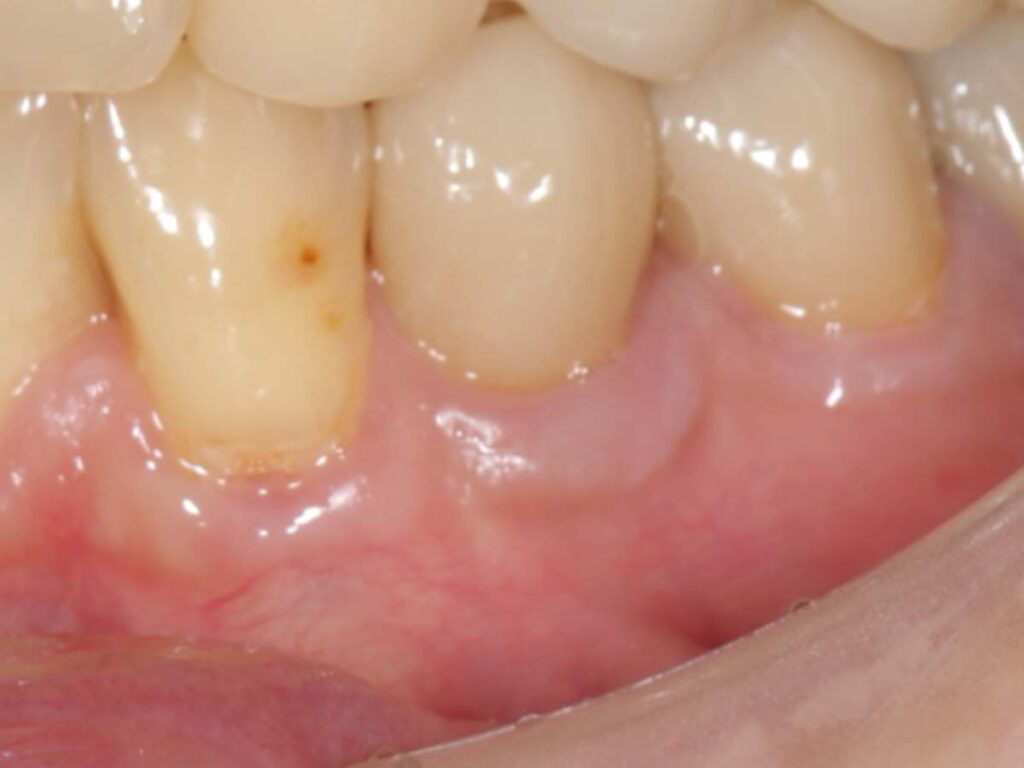
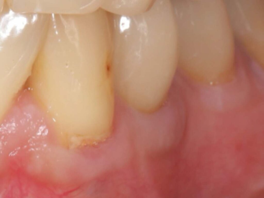
- 術後側方面観(術後10年以上経過)
- 術前正面観
- 術後正面観(術後10年以上経過)
この方法により、単に虫歯を治すだけでなく歯根の露出を改善、歯ぐきの厚みを回復、再び虫歯になりにくい環境を作るという根本的な改善を目指しました。
結果として、術後10年以上経過しても歯肉は安定しており、根元の虫歯の再発も認めていません。
歯肉退縮は見た目の問題だけではなく、
・知覚過敏
・根面う蝕(歯の根の虫歯)
・ブラッシング時の不快感
・審美的な問題
など、さまざまなトラブルにつながることがあります。
しかし適切な診断を行い、必要に応じて歯周形成外科などの外科的アプローチを取り入れることで、長期的に歯を守る治療が可能になるケースもあります。
「最近歯ぐきが下がってきた気がする」
「歯の根元がしみる」
「同じ場所に虫歯ができやすい」
そんなお悩みがある方は、
歯周形成外科という選択肢も知っていただければと思います。
カツベ歯科では歯肉退縮に対する歯周形成外科治療を行っています
歯ぐきの状態や歯の状況を診断した上で、患者さまにとって最適な治療方法をご提案しています。気になる方はぜひ参考にしてみてください。



