お知らせ / コラム
下がった歯ぐきは治療できる?歯肉退縮を改善した実際の症例をご紹介④
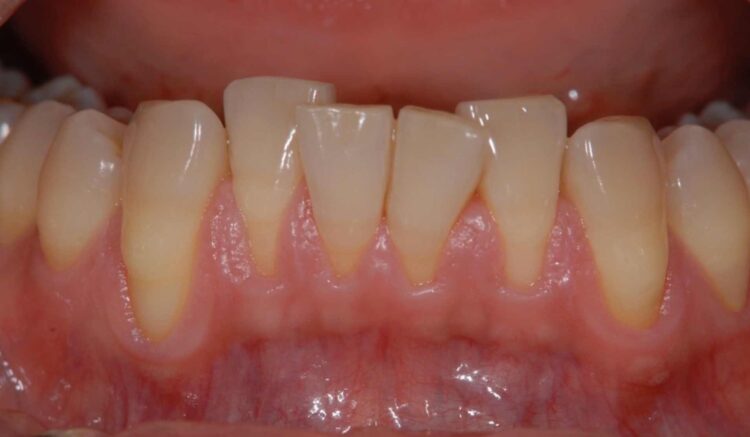
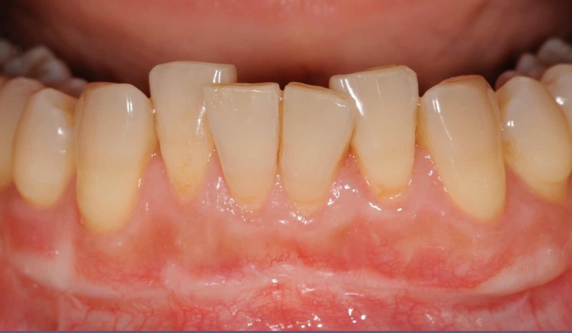
今回の記事では、下顎前歯の多数歯にわたる歯肉退縮の症例をご紹介します。
※歯肉退縮の基本的な治療については、第一回目・第二回目・第三回目の記事もぜひご覧ください。
歯ぐきは下がったら戻らないと思っていませんか?
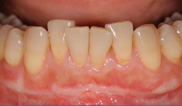
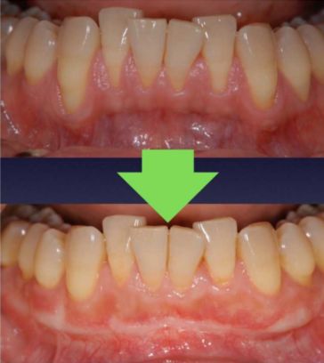
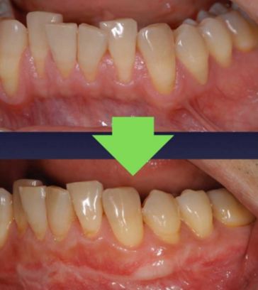
今回の症例は下顎前歯の多数歯にわたる歯肉退縮。そこで行った治療が歯根面被覆術(歯周形成外科)です。下がった歯ぐきを回復させ厚みのある強い歯肉を再建しました。
- 術前
- 術後11年経過
- 術前→術後①
- 術前→術後②
- 術前→術後③
そしてこの症例の最大のポイントは術後11年経過しても安定していること。歯ぐきの治療はただ見た目を戻すだけではありません。長期的に歯を守る歯周環境を作ること。それが本当の目的です。
歯ぐきが下がった原因は
歯ぐきが下がる原因は
・歯周病
・歯ブラシ圧
・歯並び
・骨の薄さ
・噛み合わせなど様々です。
「歯ぐきが下がってきた」
「このままで大丈夫か不安」
そんな方は早めの診査をおすすめします。
歯ぐきは回復できる可能性があります。
【歯肉退縮シリーズ】
歯ぐきが下がる「歯肉退縮」の治療について、症例をもとに解説しています。
①結合組織移植(CTG)と歯冠側移動弁(CAF)を併用し下がった歯ぐきを回復。
下がった歯ぐきは治療できる?歯肉退縮を改善した実際の症例をご紹介①
②歯肉を大きく切開せずに行う低侵襲の歯周形成エンベロープテクニック
下がった歯ぐきは治療できる?歯肉退縮を改善した実際の症例をご紹介②
③矯正後に歯ぐきが下がった症例
下がった歯ぐきは治療できる?歯肉退縮を改善した実際の症例をご紹介③
#歯周形成外科
#歯ぐきが下がる




