お知らせ / コラム
下がった歯ぐきは治療できる?歯肉退縮を改善した実際の症例をご紹介③
今回の記事では、矯正治療後に歯ぐきが下がってしまった症例をご紹介します。
※歯肉退縮の基本的な治療については、第一回目・第二回目の記事もぜひご覧ください。
矯正治療のその後に
「矯正治療をしたあとに歯ぐきが下がった気がする…」
「歯ぐきが下がった」
「冷たいものがしみる」
このようなお悩みでご相談に来られる患者さまは、実は少なくありません。
矯正治療によって歯並びが整う一方で、歯の移動による影響で歯ぐきが下がってしまうことがあります。
カツベ歯科クリニックでは、このような歯肉退縮に対して歯周形成外科による治療を行っています。
今回の記事では、矯正治療後に歯ぐきが下がってしまった症例をご紹介します。
歯を骨の中で移動させる治療だからこそ
矯正治療は歯を骨の中で移動させる治療です。
そのため、歯の移動する位置や骨の厚みによっては歯ぐきが下がってしまうことがあります。
矯正後に歯肉退縮が起こる原因としては、主に以下のようなものが考えられます。
・歯槽骨が薄い場所への歯の移動
・歯肉がもともと薄いタイプ
・強すぎるブラッシング
・歯ぎしりや食いしばりなど強い咬合力
特に歯槽骨が薄い場所に歯が移動すると、歯を支える骨の厚みが不足し、歯ぐきが下がりやすくなることがあります。また、歯ぐきの厚みは個人差があり歯肉が薄いタイプの方は歯肉退縮が起こりやすいとされています。
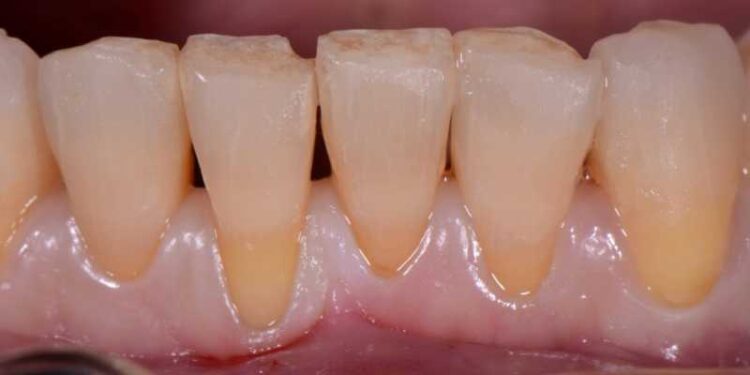
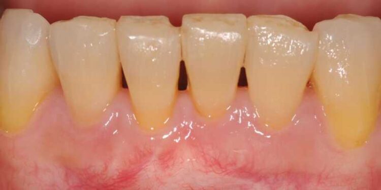
今回の症例|矯正治療後に歯肉退縮が起きたケース
今回ご紹介するのは、矯正治療後に歯ぐきが下がってしまった患者さまの症例です。
- 術前
- オペ直後
- 術後8年
- 術前と現在
※画像クリックで拡大表示されます。
今回行った治療は、歯周形成外科の一つである歯根面被覆術です。
歯根面被覆術とは、下がってしまった歯ぐきを回復させ露出した歯根を歯ぐきで覆う治療です。
歯ぐきを適切な位置へ回復させることで
・歯ぐきの見た目を改善
・知覚過敏の軽減
・歯根の保護
に繋がり、歯根を覆うことで歯の長期的な保存にもつながります。
歯ぐきが下がってしまっても、歯周形成外科によって改善できるケースは多くあります。
気になる症状がある方はお早めにご相談ください。
同じ悩みを持つ方の参考になるので、ぜひシリーズ記事も合わせてご覧ください。
【歯肉退縮シリーズ】
歯ぐきが下がる「歯肉退縮」の治療について、症例をもとに解説しています。
①結合組織移植(CTG)と歯冠側移動弁(CAF)を併用し下がった歯ぐきを回復。
②歯肉を大きく切開せずに行う低侵襲の歯周形成エンベロープテクニック
③矯正後に歯ぐきが下がった症例
(この記事)
#矯正後の歯肉退縮
#歯周形成外科
#歯ぐきが下がる



