お知らせ / コラム
下がった歯ぐきは治療できる?歯肉退縮を改善した実際の症例をご紹介②
前回の記事で結合組織移植(CTG)と歯冠側移動弁(CAF)を併用し下がった歯ぐきを回復させたケースを紹介しました。今回はエンベロープテクニックによる根面被覆術の症例をご紹介します。
今回の症例紹介
今回の症例では、歯肉退縮によって歯の根が露出しており「歯のしみる症状」、「見た目の違和感」を主訴に来院されました。歯ぐきが下がると、歯の根の表面が露出するため知覚過敏が起こりやすくなり、また歯が長く見えることで審美的なお悩みにつながることもあります。今回は低侵襲に歯肉を温存しながら移植組織を安定させることで、自然で調和のとれた歯肉形態を獲得しています。
今回の症例では
・術前
・術中(エンベロープ形成)
・術後
・術後11年経過
までの長期経過を確認することができます。
根面被覆術とは
歯ぐきが下がった部分に対して行う治療を根面被覆術といいます。
露出した歯の根を歯ぐきで覆うことで知覚過敏の改善、審美性の回復、歯周組織の安定が期待できる治療です。適切な術式を選択することが重要になります。
エンベロープテクニックとは
この方法は歯肉を大きく切開せずに行う低侵襲の歯周形成外科です。歯肉の下にトンネル状のスペースを作り、そこに移植組織を挿入することで歯根を被覆します。
エンベロープテクニックには、歯肉の血流を保ちやすい、切開が少なく低侵襲、自然な歯肉ラインを再現しやすい、長期的な安定が得られやすいといった特徴があります。
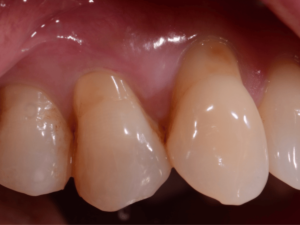
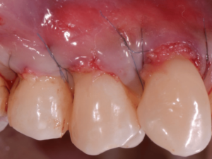
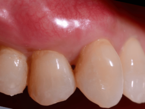
術前、術中(エンベロープ形成)、術後、術後11年経過の画像です
- 術前
- 口蓋側の歯肉採取①
- 口蓋側の歯肉採取②
- 術後直後の糸を縫合した状態
- 術後11年
※画像クリックで拡大表示されます。
歯周形成外科では、長期的な安定性が非常に重要です。
今回の症例では、術後11年が経過した現在でも
・歯肉ラインの安定
・歯根の再露出なし
・清掃性の維持
・審美性の維持
が確認されています。
歯周組織は非常に繊細な組織であり、適切な診査診断と精密な治療が長期結果に大きく影響します。
カツベ歯科クリニックでは、拡大視野を用いたマイクロサージェリーを取り入れ、再現性の高い歯周形成外科を行っています。
歯ぐきが下がって気になる方へ
歯肉退縮を放置すると
・知覚過敏
・歯の根元の虫歯
・見た目の問題
につながることがあります。
「歯ぐきが下がってきた」
「歯の根元がしみる」
「歯が長く見える」
このようなお悩みがある方は、早めの診査・診断が大切です。
気になる症状がある方は、ぜひ一度ご相談ください。
お口の悩み、まずはお気軽にご相談ください。
※治療には適応がありすべての症例で同様の結果を保証するものではありません。
※自由診療となります。




