お知らせ / コラム
下がった歯ぐきは治療できる?歯肉退縮を改善した実際の症例をご紹介
【歯ぐきが下がって気になる方へ】
「歯が長く見える」、「冷たいものがしみる」
それは歯肉退縮かもしれません。
今回の症例は
結合組織移植(CTG)と
歯冠側移動弁(CAF)を併用し、
下がった歯ぐきを回復させたケースです。
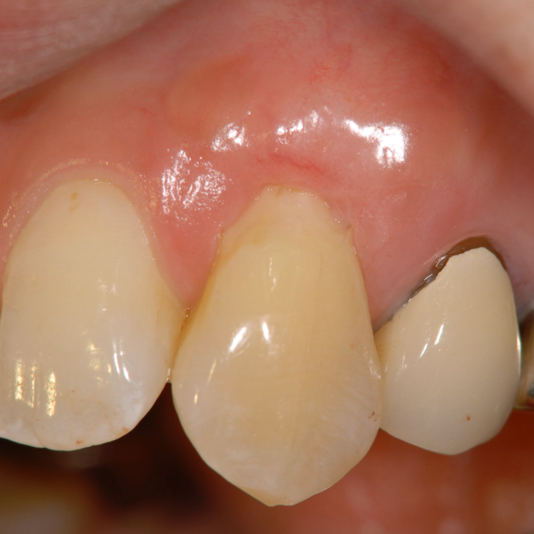
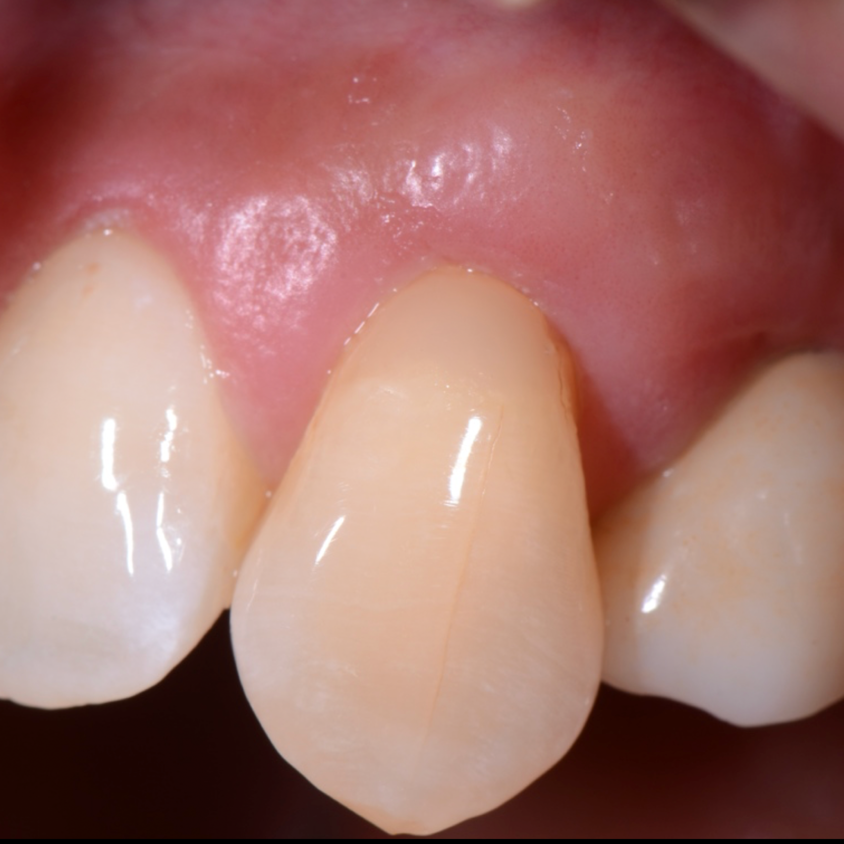
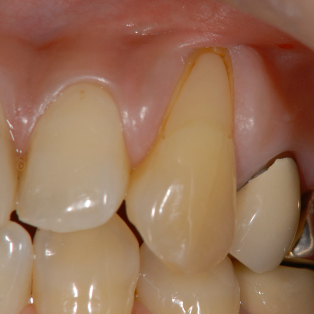
術前から、術中、術後、術後12年後の画像です
- 術前
- 術中
- 術後
- 術後12年
自然な見た目の改善と知覚過敏の軽減が期待できる治療です。
早期に対応することでより良い結果が得られます。
お口の悩み、まずはお気軽にご相談ください。
※治療には適応がありすべての症例で同様の結果を保証するものではありません。
※自由診療となります。



