お知らせ / コラム
受け口で噛み合わせが乱れた症例|矯正×補綴で「噛める・壊れにくい」歯並びへ
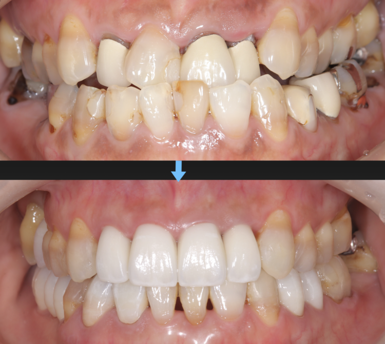
噛み合わせを整えて、健康で美しい歯を取り戻した症例のご紹介
今回ご紹介するのは、受け口が原因で噛み合わせが乱れ、奥歯を失ってしまった患者様の症例です。
総合的に診断した結果、矯正治療と補綴(ほてつ)治療を組み合わせることで、次のような改善が見られました。
- 壊れにくい歯並び
- よく噛める機能
- 美しい見た目
受け口がもたらす噛み合わせの問題
受け口(反対咬合)は、見た目だけでなく、噛む力のバランスにも影響を与えます。
前歯や奥歯に過度な負担がかかることで、歯のすり減りや破折、歯周病の進行につながることもあります。
矯正×補綴で「噛める」口元へ
矯正治療で正しい噛み合わせをつくり、補綴治療で欠損部分をしっかりと補うことで、機能性と審美性の両立を実現しました。
咬合が安定することで、長期的に見ても歯が壊れにくく、健康的な状態を維持できます。
見た目だけでなく「健康」と「長持ち」に直結
噛み合わせを整えることは、見た目の美しさだけでなく、全身の健康や歯の寿命にも深く関係しています。
お悩みの方も、ぜひ諦めずにご相談ください。

