大阪市北区の梅田駅近くの歯医者カツベ歯科クリニックの「審美治療」ページ

東梅田駅4番出口直結(コフレ梅田3階)

06-6311-1971 WEB予約

東梅田駅4番出口直結(コフレ梅田3階)

WEB診療予約 電話で問い合わせる TEL 06-6311-1971
診療時間
8:00 - 18:30

診療の受付は18:00までに完了してください

予約状況

審美治療

高い技術力と
豊富な知識で
いつまでも
美しい口元
に導きます

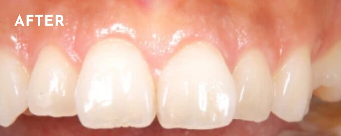
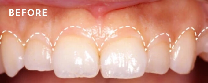
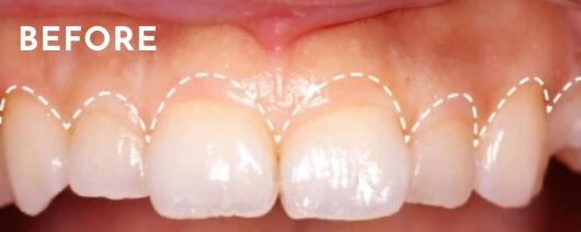
当院では、虫歯治療や噛み合わせなどの機能的な治療とともに、歯の白さや歯並びを自然に美しく整える審美治療を行っています。
透明感のある白い歯を実現するオールセラミッククラウンや、ガミースマイル治療などの様々なメニューの中から、患者様のご希望に応じて口元を美しく導くことができます。

DENTAL CROWN

被せ物・詰め物による審美治療

当院では、院内専属の歯科技工所で被せ物・詰め物を作製しています。
歯科技工士が患者様の口腔内を直接確認して一人ひとりの歯の形や色調などを隅々までチェックすることで、お顔や輪郭だけでなく雰囲気などにも合う美しい人工歯を実現することができます。

  • 自由診療の料金です。
  • 咬む力が強い場合は割れることがあります。
  • 神経を残して治療をするため、まれに痛みが出る場合があります。
被せ物・詰め物による審美治療

オールセラミッククラウン

165,000円(税込)/本

オールセラミッククラウン オールセラミッククラウン
  • 透明感のある白い歯を実現
  • 金属アレルギーの方も安心

セラミック素材のみで作ったクラウンで、自然な透明感のある白い歯を作ります。
金属アレルギーの心配がないセラミックは、身体に馴染みやすくて歯茎が黒ずむリスクもない安全性の高い素材です。また、耐久性に優れているため、品質が長期的に安定することも魅力の一つです。

前歯の場合は、色合わせの調整が複数回必要となるため、1本あたり別途33,000円(税込)の費用が発生します。

メタルボンド

165,000円(税込)/本

メタルボンド メタルボンド
  • 強度が高い金属製
  • 長期間色調を保つ耐久性

金属のフレームにセラミックを焼き付けたクラウン(被せ物)で、主に咬み合う力が強い部位や、失った歯がある場合の連結歯として使用します。外側がセラミックのため、高い強度や耐久性を持ちながらも透明感のある白い歯を保つことができます。
なお、金属アレルギーの方は使用することができません。

前歯の場合は、色合わせの調整が複数回必要となるため、1本あたり別途33,000円(税込)の費用が発生します。

セラミックインレー

77,000円(税込)/本

セラミックインレー セラミックインレー
  • 天然歯に合わせた自然な仕上がり
  • 虫歯リスクを抑制

セラミック素材で作ったインレー(詰め物)で、天然歯の色調に合わせて自然な見た目を再現することができます。
天然歯に密着しやすい材料を使用するため、歯と歯の隙間ができにくく、虫歯の再発リスクを抑えることができます。

ラミネートベニア

198,000円(税込)/本

ラミネートベニア ラミネートベニア
  • 形と色調を細かく調整できる
  • 削る面を最小限に抑える

前歯の表面を薄く削り、セラミックで作ったシェル状の板を貼り付ける処置です。理想の歯の形と色調に整えることができ、すきっ歯がある場合も比較的短期間で自然な見た目に導くことができます。歯の表面のみを削るため、全周を削ることに抵抗がある方におすすめです。

GUMMY SMILE

ガミースマイルの治療

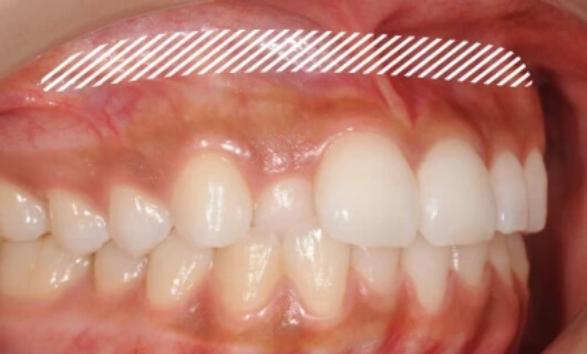
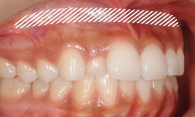
ガミースマイルは、笑うと歯茎が大きく露出する状態のことです。健康に支障を及ぼす症状ではありませんが、歯茎が見えてしまうことがコンプレックスで、思いきり笑うことができずに悩んでいる方が多数いらっしゃいます。
ガミースマイルは遺伝的な要素が強いため、自然に治ることはほとんどありません。そのため、歯茎の切除や矯正などを行って治療する必要があります。当院では、入念な検査を行った上で治療方法を検討し、症状によっては複数の治療方法を組み合わせた治療を行っています。

ガミースマイルの治療

歯茎の中に歯が多く埋まっている場合 歯茎の切除による治療
(クラウンレングスニング)

歯茎の中に歯が多く埋まっている場合歯茎の切除による治療(クラウンレングスニング) 歯茎の中に歯が多く埋まっている場合歯茎の切除による治療(クラウンレングスニング) 歯茎の中に歯が多く埋まっている場合歯茎の切除による治療(クラウンレングスニング) 歯茎の中に歯が多く埋まっている場合歯茎の切除による治療(クラウンレングスニング)

歯が歯茎の中で埋まっている場合、歯茎を切除することで露出面積が少なくなり、ガミースマイルを改善する効果が期待できます。
なお、歯茎は口腔内の骨に応じて高さが決まるため、歯茎の切除のみでは後戻りしてしまいます。そのため、当院では、歯の機能に支障が出ないよう配慮しながら骨の高さを落とすことで歯茎の位置を調整し、後戻りのない歯茎の切除を実現しています。

検査費用

¥33,000(税込)

治療費用

¥165,000(税込)

回復期間

3ヶ月

上唇が上がりすぎている場合 粘膜の切除による治療
(リップリボジショニング)

上唇が上がりすぎている場合粘膜の切除による治療(リップリボジショニング) 上唇が上がりすぎている場合粘膜の切除による治療(リップリボジショニング)

上唇が通常より大きく上がりすぎてしまい、歯茎の見える面積が広い場合、上唇の裏側の粘膜を切除して縫合することで唇が上がりすぎないよう治療します。
歯や骨に対して手術せず、粘膜のみ治療するため、比較的早く傷跡が回復します。ただし、後戻りする可能性もあります。

検査費用

¥33,000(税込)

治療費用

¥165,000(税込)

回復期間

1ヶ月

歯茎や粘膜の切除で
審美的な改善が不十分な場合
矯正による治療

歯茎や粘膜の切除で審美的な改善が不十分な場合矯正による治療 歯茎や粘膜の切除で審美的な改善が不十分な場合矯正による治療

歯茎や粘膜の切除による治療では、審美的な改善が不十分と判断した場合、矯正治療を提案する場合があります。前歯と下唇の関係やスマイルラインを考慮した上でシミュレーションし、患者様一人ひとりの状態に応じて適切な提案を行います。

矯正治療

ONLINE FREE CONSULTATION

オンライン無料カウンセリング

審美治療やガミースマイル治療は患者様によって適応となる治療方法が異なるため、当院ではオンラインでの無料相談(約15分)を承っています。
「自分が受けるべき治療方法を知りたい」「まずは治療に関して説明を受けたい」「およその費用を知りたい」など、気になることがあれば何でもご相談ください。
もちろん、来院でのご相談も可能なため、ご予約時に審美治療・ガミースマイル治療を希望する旨をお伝えください。
なお、来院でのご相談の場合、当日の施術は難しい場合があります。

オンライン無料カウンセリング

CASE

最新の症例紹介はこちら

最新の症例紹介はこちら 最新の症例紹介はこちら

診療実績ページでは、当院がこれまで診療してきた数々の症例を写真と共に紹介しています。

審美治療の症例紹介
診療時間
診療時間
8:00 - 18:30

診療の受付は18:00までに完了してください

現在の予約状況

初めてご来院される方専用です。

再診の方はこちら